DOCTYPE html> Mitral Stenosis

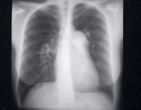
You are incorrect - our patient's chest X rays show left atrial enlargement and right ventricular enlargement.

Your choice: Right ventricular enlargement & markedly dilated pulmonary artery

These chest X rays show a markedly dilated pulmonary artery.
In this PA view, it is demonstrated just beneath the aortic knob at the upper left sternal border. Note that the dilated pulmonary artery tapers rapidly. This has been called “pruning” and is typical of severe pulmonary hypertension.
The lateral view confirms the markedly dilated pulmonary artery. Right ventricular enlargement is best seen in this view and is manifested by obliteration of the retrosternal air space.