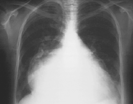
You are incorrect - our patient's chest X rays show left atrial enlargement and right ventricular enlargement.

Your choice: Marked left atrial enlargement

These chest X rays show marked left atrial enlargement.
In this PA view, it is demonstrated by the atrial appendage along the left heart border, and is so massive, that it also comprises the right heart border. such a giant left atrium may be seen in severe chronic mitral regurgitation.
The lateral view, with barium swallow, demonstrates marked posterior displacement of the esophagus by the giant left atrium.